Lexikon
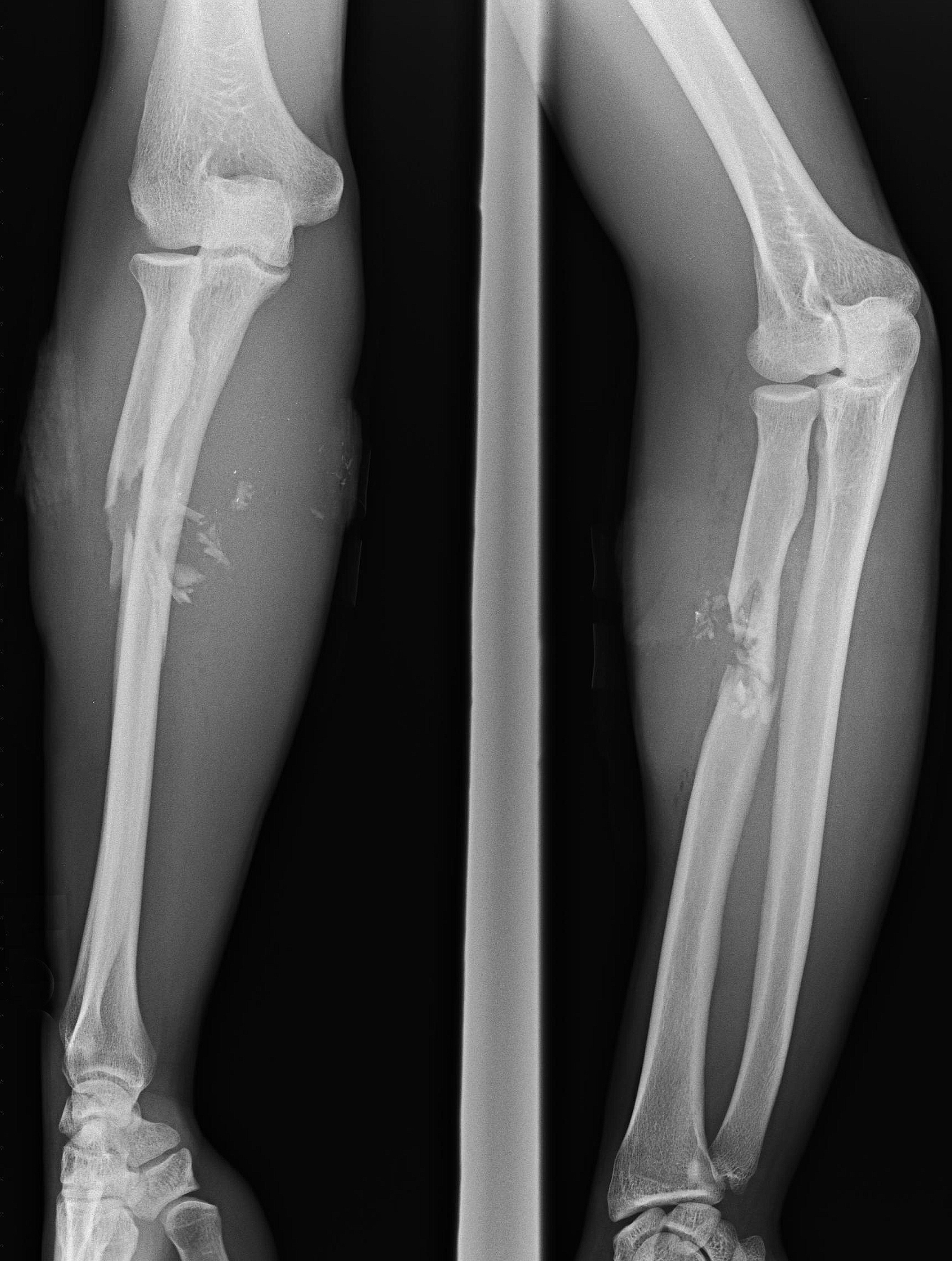
Knochenbruch
Wichtig: Anhaltende Schmerzen nach Verletzungen und Unfällen müssen ärztlich abgeklärt werden! Calcium phosphoricum Einzelmittel Calcium phosphoricum Leitsymptome • ältere Brüche, die nur langsam verheilen oder schlecht zusammenwachsen• dabei immer wieder Schmerzen an kleiner, umschriebener Stelle Stimmung — Verbesserung — Verschlechterung • Wetterwechsel• kaltes Wetter Potenz D 6 Einnahme 3-mal täglich 5 Globuli bis zur Besserung, dann Abstände verlängern bis zum Abklingen der Beschwerden. Symphytum Einzelmittel Symphytum Leitsymptome • bei Knochenbrüchen und Verletzungen der Knochenhaut• starke stechende Schmerzen, sowohl akut als auch bei schon verheilten Brüchen• fördert die Kallusbildung und die Neubildung von Knochengewebe• auch bei schmerzhafter Knochenprellung (Verletzung der Knochenhaut)• „Schneeballsyndrom“, […]
Knochenbruch
Wichtig: Anhaltende Schmerzen nach Verletzungen und Unfällen müssen ärztlich abgeklärt werden! Calcium phosphoricum Einzelmittel Calcium phosphoricum Leitsymptome • ältere Brüche, die nur langsam verheilen oder schlecht zusammenwachsen• dabei immer wieder Schmerzen an kleiner, umschriebener Stelle Stimmung — Verbesserung — Verschlechterung • Wetterwechsel• kaltes Wetter Potenz D 6 Einnahme 3-mal täglich 5 Globuli bis zur Besserung, dann Abstände verlängern bis zum Abklingen der Beschwerden. Symphytum Einzelmittel Symphytum Leitsymptome • bei Knochenbrüchen und Verletzungen der Knochenhaut• starke stechende Schmerzen, sowohl akut als auch bei schon verheilten Brüchen• fördert die Kallusbildung und die Neubildung von Knochengewebe• auch bei schmerzhafter Knochenprellung (Verletzung der Knochenhaut)• „Schneeballsyndrom“, […]
Kochsalz
© New Africa/stock.adobe.com
Koloquinte
© KingmaPhotos/stock.adobe.com
Kopf Kopfschmerzen
© fizkes/stock.adobe.com
Kopf Schwindel
© Andrey Popov/stock.adobe.com
Kopfschmerzen
Wichtig: Immer wiederkehrende und andauernde Kopfschmerzen müssen ärztlich abgeklärt werden! Atropa belladonna (früher: Belladonna) Einzelmittel Atropa belladonna (früher: Belladonna) Leitsymptome • heftige, plötzlich einsetzende Kopfschmerzen• dumpfe, klopfende oder pulsierende Kopfschmerzen• dabei hochroter, heißer Kopf• überempfindlich auf äußere Reize• Auslöser oft zu viel Sonne, Hitze, Zugluft; Infekte Stimmung • gereizt und wütend• wie im Fieberdelirium• überempfindlich auf alle Sinneseindrücke (Licht, Geräusche, Berührung, …) Verbesserung • Ruhe• Dunkelheit Verschlechterung • Sonnenhitze• alle Sinneseindrücke (Kälte, Hitze, Geräusche, Berührung, …)• Bewegung Potenz D 6 Einnahme im Akutfall anfänglich ½ stündlich 5 Globuli bis zur Besserung, maximal 4 Wiederholungen; bei Besserung 3-mal täglich 5 Globuli bis […]
Kopfschmerzen
Wichtig: Immer wiederkehrende und andauernde Kopfschmerzen müssen ärztlich abgeklärt werden! Atropa belladonna (früher: Belladonna) Einzelmittel Atropa belladonna (früher: Belladonna) Leitsymptome • heftige, plötzlich einsetzende Kopfschmerzen• dumpfe, klopfende oder pulsierende Kopfschmerzen• dabei hochroter, heißer Kopf• überempfindlich auf äußere Reize• Auslöser oft zu viel Sonne, Hitze, Zugluft; Infekte Stimmung • gereizt und wütend• wie im Fieberdelirium• überempfindlich auf alle Sinneseindrücke (Licht, Geräusche, Berührung, …) Verbesserung • Ruhe• Dunkelheit Verschlechterung • Sonnenhitze• alle Sinneseindrücke (Kälte, Hitze, Geräusche, Berührung, …)• Bewegung Potenz D 6 Einnahme im Akutfall anfänglich ½ stündlich 5 Globuli bis zur Besserung, maximal 4 Wiederholungen; bei Besserung 3-mal täglich 5 Globuli bis […]
Krauser Ampfer
© bennytrapp/stock.adobe.com
Kreislaufbeschwerden
Wichtig: Erstmalig und plötzlich auftretenden Herz-Kreislaufbeschwerden müssen ärztlich abgeklärt werden! Crataegus oxyacantha Einzelmittel Crataegus oxyacantha Leitsymptome • Blutdruck ist einmal zu hoch, einmal zu niedrig• Atemnot bei Belastung• funktionelle Herzbeschwerden Stimmung — Verbesserung • frische Luft• Ruhe Verschlechterung • schon bei geringer Anstrengung Potenz D 6 Einnahme 3-mal täglich 5 Globuli bis zur Besserung, dann Abstände verlängern bis zum Abklingen der Beschwerden Haplopappus baylahuen Einzelmittel Haplopappus baylahuen Leitsymptome • zu niedriger Blutdruck• Kopfschmerzen, Schwindelgefühl• schwindlig beim Aufstehen, bei langem Stehen• Schwarzwerden vor den Augen, Augenflimmern• wetterfühlig Stimmung • müde und schläfrig Verbesserung • Ruhe Verschlechterung • vormittags• Wetterumschwung Potenz D 3 […]